Obisk Nacionalnega inštituta za biologijo
V petek, 26. septembra 2025, smo se z dijaki odpravili na obisk Nacionalnega inštituta za biologijo, kjer smo imeli priložnost spoznati raznolike raziskovalne dejavnosti in delo biologov na različnih področjih.
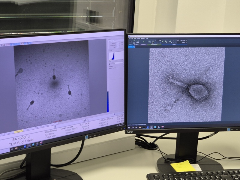
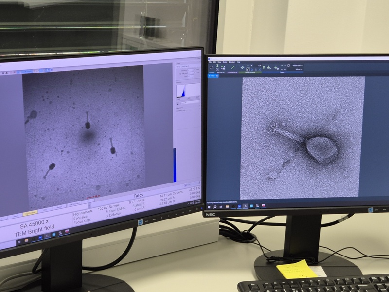
Najprej smo se srečali z zanimivim svetom žuželk ter opazovali ples in oglašanje čričkov, s čimer smo spoznali, kako te živali komunicirajo med seboj. Nadalje smo pod elektronskim mikroskopom opazovali viruse in prisluhnili razlagi o njihovem pomenu pri raziskavah bolezni rastlin in živali. Raziskovalci so nam predstavili tudi PCR metodo, s katero lahko pomnožijo in zaznajo odseke DNA, ter razložili, kako se takšne tehnike uporabljajo pri diagnosticiranju različnih organizmov. Izvedeli smo, da na inštitutu redno in zelo natančno testirajo krompir ter druge poljščine, ki v Slovenijo prispejo prek Luke Koper, in preverjajo njihovo morebitno okuženost s patogenimi organizmi. V nadaljevanju smo spoznali delo na področju imunologije rakavih celic, kjer raziskujejo procese, ki lahko prispevajo k razvoju novih oblik zdravljenja raka. Videli smo tudi cianobakterije ter se dotaknili aktualnega vprašanja njihove sposobnosti sproščanja toksinov, ki lahko povzročijo zastrupitve vodnih teles. Na koncu pa smo zaključili z aktualno temo mikroplastike, si ogledali vzorce pod mikroskopom ter razpravljali o vplivu teh delcev na okolje in človeka.
Dijaki so bili nad obiskom zelo zadovoljni. Navdušilo jih je, da so lahko dobili vpogled v raznolika področja in raziskovalno delo v biologiji ter videli, kako znanstveno delo prispeva k razumevanju narave in varovanju zdravja ljudi.
Zapisala: Eva Šajn
